Tooth loss is more common than many people realise. Whether caused by injury, gum disease or age-related dental issues, missing teeth can affect not only appearance but also confidence, comfort and overall oral health. In recent years dentists across the UK have reported a noticeable increase in patients seeking long-term solutions for missing teeth, with dental implants becoming one of the most popular treatments available.
Unlike traditional dentures or bridges, dental implants are designed to function much like natural teeth. The treatment involves placing a small titanium post into the jawbone which acts as a replacement tooth root. Once the implant integrates with the bone, a custom crown is placed on top to restore the appearance and function of the missing tooth.
For many patients this modern approach offers a far more stable and natural solution compared to removable alternatives.
A Long-Term Solution for Tooth Loss
One of the key reasons dental implants have grown in popularity is their durability. While traditional dental bridges or dentures may need replacement over time, implants are designed to be a long-term solution when properly cared for.
Because the implant integrates directly with the jawbone, it helps maintain bone density in the area where the tooth was lost. This is important because when a tooth is missing for a long period, the surrounding bone can begin to deteriorate. Over time this can affect the shape of the face and the stability of neighbouring teeth.
Dental implants help prevent this process, making them not only a cosmetic improvement but also an important treatment for protecting long-term oral health.
Growing Demand for Natural-Looking Results
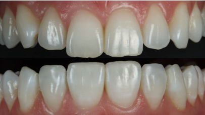
Another reason many adults are choosing implants is the desire for natural-looking results. Modern dental materials and techniques allow implant restorations to closely match the colour, shape and appearance of surrounding teeth.
Patients who previously relied on removable dentures often report that implants feel significantly more secure and comfortable. Everyday activities such as eating, speaking and smiling can feel natural again, which can make a big difference to confidence and quality of life.
Many dental practices are seeing growing interest in treatments for dental implants. Clinics like Oldbury Smile Spa have reported increasing demand from patients looking for a permanent solution to missing teeth.
Advances in Dental Technology
Technological advances have also made implant treatment more accessible than in the past. Digital scanning, 3D imaging and modern surgical planning allow dentists to place implants with a high level of precision.
These developments have improved patient comfort and helped dentists design treatment plans that are tailored to each individual. In many cases, implant procedures can now be carried out with minimal disruption, allowing patients to return to normal routines soon after treatment.
For suitable candidates, implants can be used to replace a single missing tooth, multiple teeth, or even support full arch restorations where several teeth have been lost.
Who Is Suitable for Dental Implants?
Most healthy adults can be considered for dental implant treatment, although a full dental examination is always required. Dentists will typically assess bone density, gum health and general oral condition before recommending implants.
In some situations where bone loss has occurred, additional procedures such as bone grafting may be recommended to prepare the jaw for implant placement. However, advances in dental techniques mean many patients who previously believed they were not suitable candidates may now be able to benefit from implant treatment.
Maintaining good oral hygiene and attending regular dental check-ups also plays an important role in ensuring implants remain successful for many years.
Restoring Confidence as Well as Function
Missing teeth can affect more than just appearance. Many people experience difficulty chewing certain foods, changes in speech or reduced confidence when smiling. Dental implants help restore both the function and appearance of natural teeth, allowing patients to regain confidence in their smile.
As awareness of modern implant dentistry continues to grow, more adults are choosing implants as a reliable and long-lasting solution to tooth loss. With the combination of advanced technology, natural aesthetics and strong long-term outcomes, dental implants have become one of the most trusted treatments available for restoring a healthy smile.































